CD34, Mouse, mAb MEC14.7
€139.00 €333.00Price range: €139.00 through €333.00
The monoclonal antibody MEC14.7 recognizes mouse CD34, a single-pass type I membrane glycophosphoprotein present on small vessel endothelial cells and hematopoietic progenitor cells. The apparent molecular mass of CD34 is heterogeneous, depending on the glycosylation state in different cell types. In cultured endothelioma cell lysate, CD34 has a molecular weight of ~100 kDa, whereas in lung lysates it is ~80 kDa. 2 Isoforms of CD34 exist, both are expressed on the cell surface.CD34 is an adhesion molecule performing a role in early hematopoiesis by mediating the attachment of stem cells to the bone marrow extracellular matrix or directly to stromal cells. CD34 acts as a scaffold for the attachment of lineage specific glycans, allowing stem cells to bind to lectins expressed by stromal cells or other marrow components. CD34 presents carbohydrate ligands to selectins.CD34 is widely used as a marker to select early hematopoietic stem and progenitor cells in experimental and clinical hematopoiesis. The monoclonal antibody MEC14.7 recognizes a neuraminidase sensitive epitope on endothelium in vivo, particularly on small vessels and neoformed capillaries and developing vascular structures in embryonal structures. The monoclonal antibody MEC14.7 can be used for identification and characterization of capillary endothelial cells. Furthermore, the antibody is useful for isolation and characterization of hematopoietic progenitor cells, particularly of myelomonocytic colony forming cells. Monoclonal antibody MEC14.7 is also useful for immunopurification and cell separation
P: Formalin fixed; boiled twice for 5 minutes in citrate (pH 6.0) as antigen retrieval (in house tested; Ref 4,6) or 0.03 % trypsin treatment for 10 minutes at 37 °C (Ref3)
FC: mice blood cells; 0.1 µg MEC14.7/106 cells (Ref5)
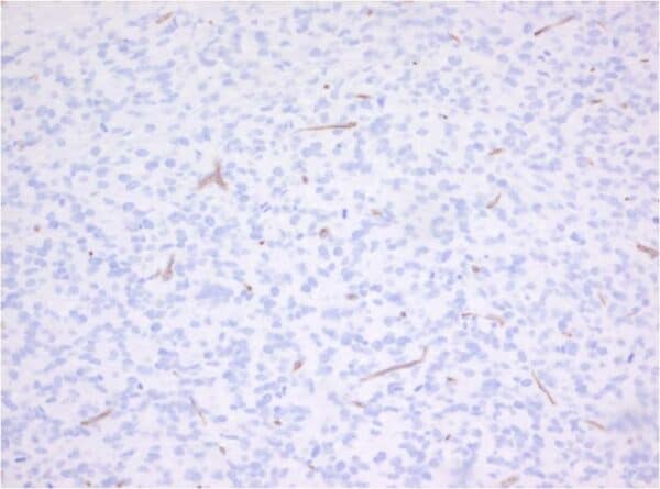
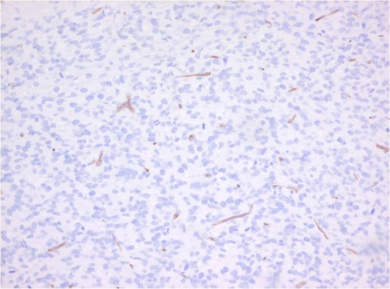
IP: ~100 kDa protein in H5V cells (Ref1) CD34 in mouse glioma. Staining of paraffin tissue section with antibody MEC14.7 (Cat. # HM1015). Anti-mouse CD34 at 5 µg/ml (o/n, 4 °C) resulted in the specific staining of endothelial cells.













